O Dr. Robert Emmons é conhecido como o “maior especialista científico mundial em gratidão”. Ele é psicólogo profissional pela University of California, Davis e também o editor-chefe fundador do Journal of Positive Psychology. Emmons dedicou sua vida a compreender melhor o papel que a gratidão e a gratidão desempenham, não apenas em nossas vidas, mas também em nossa saúde física e mental.
Muitas pessoas precisam de motivação para praticar a gratidão pelas coisas boas da vida, especialmente durante uma pandemia, quando os níveis de estresse estão altos. Na última década, Emmons tem estudado os efeitos da gratidão em nossa saúde física e bem-estar psicológico.
“É uma afirmação de bondade”, explica Emmons . “Afirmamos que existem coisas boas no mundo, presentes e os benefícios que recebemos. Reconhecemos que as fontes dessa bondade estão fora de nós e reconhecemos que outras pessoas – até mesmo poderes superiores, se você for de uma mentalidade espiritual – dê-nos muitos presentes, grandes e pequenos, para nos ajudar a alcançar a bondade que temos em nossas vidas. “
“Vejo isso como uma emoção que fortalece o relacionamento”, escreve Emmons sobre a dimensão social da gratidão, “porque exige que vejamos como fomos apoiados e afirmados por outras pessoas
Segundo o sociólogo Georg Simmel , a gratidão serve como uma forma de personalizar as coisas que todos vivemos de forma objetiva. Simmel sempre se referiu à gratidão como “a memória moral da humanidade”.
Como a gratidão afeta nosso bem-estar físico e mental?

Imagem de Glenn Fox
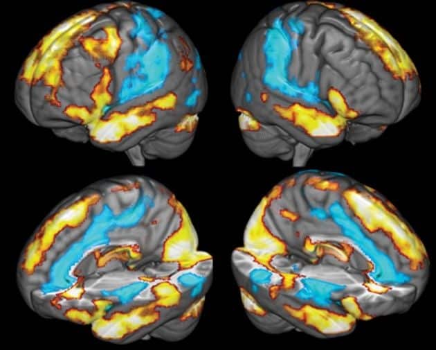
Existem vários estudos investigando como a gratidão e a gratidão se parecem no cérebro humano – quais redes neurais estão sendo usadas e como isso nos afeta positivamente?
A gratidão faz você se sentir bem mental e fisicamente.
As primeiras imagens de fMRI de um cérebro experimentando gratidão foram feitas em 2008 . As varreduras mostraram que a gratidão causa ativação sincronizada de várias regiões do cérebro, incluindo algumas das vias de recompensa do cérebro e o hipotálamo, que desempenha um papel crucial na liberação de hormônios por todo o nosso corpo.
Mais tarde, em 2009, os pesquisadores perceberam que esses níveis mais elevados de atividade no hipotálamo tinham uma grande influência no metabolismo e nos níveis de estresse. Isso significa que a gratidão pode ter efeitos positivos de tão amplo alcance que você começa a comer melhor e a dormir mais, o que pode levar a uma diminuição da depressão e a uma saúde física melhor.
A gratidão ajuda a melhorar o processo de tomada de decisão em seu cérebro.

Um estudo de 2015 da University of Southern California levantou a hipótese de que a gratidão aumenta a atividade nas regiões do cérebro associadas à cognição moral, julgamento de valor e teoria da mente (o córtex cingulado anterior e o córtex pré-frontal medial, respectivamente). Os resultados dos dados de FMRI do estudo, que incluiu 26 participantes com idades entre 18 e 28 anos, confirmaram picos de atividade nessas regiões.
A gratidão pode melhorar a saúde mental (mesmo quando você está em um ponto mais baixo).
Nesse mesmo ano, outro estudo foi realizado, desta vez em indivíduos que tinham problemas de saúde mental pré-existentes. Essas 293 pessoas foram recrutadas para este estudo em um momento em que sua saúde mental estava em um nível clínico mais baixo, pois ainda não haviam começado as sessões de aconselhamento. A maioria desses participantes lutou contra a depressão e / ou ansiedade.
Os sujeitos foram divididos aleatoriamente em três grupos: um grupo controle (psicoterapia), um grupo que realizou psicoterapia e escrita expressiva e um terceiro grupo que realizou psicoterapia e escrita de gratidão.
Dentro de 4-12 semanas após a conclusão de suas intervenções de escrita, os participantes que passaram por psicoterapia e escrita de gratidão relataram saúde mental significativamente melhor do que aqueles nos grupos de intervenção de escrita expressiva e controle.
As descobertas deste estudo (e de outros semelhantes) sugerem que escrever sobre gratidão pode ser benéfico não apenas para a mente saudável e bem ajustada, mas para indivíduos que estão lutando com problemas de saúde mental.
A gratidão deve ser uma adaptação de longo prazo de seu comportamento para ter o melhor impacto em sua saúde física e mental.
É importante observar que, no estudo da escrita, os benefícios da gratidão para a saúde mental não foram sentidos imediatamente após escrever cartas de gratidão, mas gradualmente aumentaram com o tempo, à medida que os participantes do estudo tornaram a escrita da gratidão um hábito em suas vidas.
Não apenas isso, mas as imagens de fMRI ( encontradas aqui na página 5) tiradas do cérebro dos participantes enquanto completavam uma tarefa “pague adiante” mostram que sua atividade cerebral era distinta da atividade cerebral relacionada à culpa e ao desejo de ajudar uma causa. Pessoas que eram mais gratas tendiam a dar mais dinheiro a uma causa em que acreditavam e mostraram uma maior sensibilidade neural em seu córtex pré-frontal, a área do cérebro associada ao aprendizado e à tomada de decisões.

