Pronto em 3 minutos, barato e fácil de comer: o macarrão instantâneo é recorrente nas mesas de milhões de pessoas, mas, afinal, seria ele uma opção alimentícia minimamente saudável e nutritiva?
Apesar da popularidade, a resposta para ambas as perguntas é não.
E, conforme um experimento realizado pelo renomado Dr. Braden Kuo, médico gastroenterologista do Hospital Geral de Massachusetts, nos EUA, o macarrão instantâneo não apenas é prejudicial para o nosso organismo, como pode causar sérias doenças.
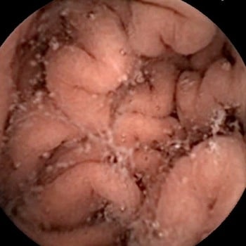
Os resultados foram surpreendentes: nas imagens obtidas, é possível ver como o ‘miojo’ reage quando entra em contato com o suco gástrico do estômago, formado pelo ácido clorídrico (que é altamente corrosivo e de baixíssimo pH), responsável por “dissolver” em um curto prazo todo o alimento que ingerimos.

Leia também: Jogador do Marrocos, Hakim doa salário para funcionários da seleção e pessoas carentes de seu país
Após duas horas dentro do estômago, quase todo o macarrão se mantém intacto, como se o suco gástrico fosse incapaz de dissolvê-lo e digeri-lo.
De modo a comparar o instantâneo com o macarrão comum, o médico mostra como o segundo é digerido mais rapidamente pelo organismo.
Para o Dr. Braden, a questão é alarmante, em especial, por conta do esforço que a digestão do alimento processado requer. Em outras palavras, ela aumenta a energia necessária para a digestão e desencadeia uma uma tensão desnecessária no órgão.
Como o ‘miojo’ praticamente não tem nutrientes, essa energia dispendida é gasta desnecessariamente e estressa o nosso sistema digestório.
Em contrapartida, esse alimento possui uma lista de aditivos artificiais que podem ser nocivos ao corpo, como o terc-butil-hidroquinona, também chamado abreviadamente de TBHQ, componente que afeta negativamente o fígado e o sistema reprodutor.

De toda forma, consumir macarrão instantâneo algumas vezes parece não ser um problema, mas se ele fizer parte constante da sua dieta, é possível que cause ou desencadeie problemas de saúde em algum momento da vida.
Segundo um estudo publicado pelo Journal of Nutrition, o risco de desenvolvimento de doenças como a Síndrome Metabólica, obesidade, diabetes e doenças cardiovasculares cresce exponencialmente a cada mês de consumo desses alimentos.

Leia também: Filho de Messi reproduz no papel “hino” argentino da Copa do Catar: “Quero ganhar a terceira”
Para piorar, em 2012, a Agência de Alimentos e Medicamentos da Coreia do Sul (KFDA) encontrou benzopireno (substância causadora de câncer) nas seis principais marcas de macarrão instantâneo fabricadas pela Nong Shim Company Ltd.
Apesar da KFDA afirmar na época que a quantidade era muito pequena e não seria prejudicial, a empresa identificou os lotes e fez um recall antes do final de 2012, retirando do mercado as unidades.
De toda forma, ainda que o TBHQ seja eliminado naturalmente pelo corpo, o consumo excessivo de macarrão instantâneo pode causar exposição prolongada a esse composto.
Saiba mais assistindo ao vídeo abaixo:
Fonte: Jornal Ciência
Compartilhe o post com seus amigos! 😉

